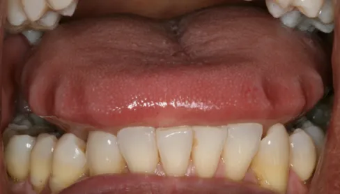
Tongue scalloping is a sign of sleep apnea. Scalloping of the tongue is caused by one of two things. It caused by the involuntary action of pushing the tongue forward as a means of opening the airway. It is always caused by clenching of the teeth.
Tongue scalloping is a sign of sleep apnea. Scalloping of the tongue is caused by one of two things. It caused by the involuntary action of pushing the tongue forward as a means of opening the airway. It is always caused by clenching of the teeth.
Monday:
8:00 am-12:00 pm
Tuesday:
8:00 am-5:00 pm
Wednesday:
8:00 am-5:00 pm
Thursday:
9:00 am-5:00 pm
Friday:
8:00 am-12:00 pm
Saturday:
8:00 am-12:00 pm
1st Sat/Month Sept-Mar
Sunday:
Closed